Older woman smiling with her hands clasped behind her head

Dental Implants

Just one missing tooth can cause a gap in your smile that leads to difficulty eating and troublesome oral health issues. With dental implants, the specialists at Periodontal Associates of Jackson, P.A. can restore your smile from top to bottom. Find out why patients from Clinton, Ridgeland, Jackson, MS, and beyond turn to our team for this premium tooth loss treatment.

What Are Dental Implants And How Do They Work?

Dental implants are small titanium posts designed to replace missing tooth roots. They are surgically embedded in the jawbone and fuse with the tissue over the course of three to six months. This process is known as osseointegration. Once osseointegration is complete, the implants can support crowns, bridges, or dentures with unmatched stability.

A Closer Look at a Key Implant Benefit How They Help With Jawbone Preservation

As a periodontal practice, we cannot overstate how much of a difference dental implants can make for your oral health compared with other tooth replacement options. The main reason is their ability to stimulate the jawbone just like natural tooth roots do. They are the only treatment that offers this benefit.

Every time you bite down, your tooth roots send stimulating signals to your jawbone, which keeps it healthy. When you lose a tooth, the underlying jaw tissue quickly begins to weaken. After a certain point, this can affect your other teeth and oral structures with complications like dental misalignment, further tooth loss, and a sunken facial appearance.

For patients who are missing teeth, it's a matter of when, not if, these problems will occur. Dental implants are the only option to stop this natural bone loss, which is why we so strongly recommend them to any patient interested in filling the gaps in their smile.

Illustration of implants placed in the jawbone

Transform Your Oral Health and Confidence Request a Dental Implant Consultation

If you're living with an incomplete smile, our Jackson, MS, team understands what you're going through. Missing teeth can turn simple things like eating and speaking into daily challenges, not to mention the negative feelings you may experience when looking in the mirror.

We have spent the last 40 years helping patients who went through the very same struggles you face now. Even if you feel there is no path forward, we assure you there is, and a dental implant consultation can be a great first step.

Begin your journey to renewed oral health and self-esteem by sending Periodontal Associates of Jackson an online message. We'd also love to hear from you by phone. You can call us at:

(601) 956-1230

5-Star Reviews "I cannot express my gratitude."

1

Beth Holland

Jackson, MS

2023

Google logo

I **highly recommend** Periodontal Associates of Jackson! The experience and professionalism that Dr. Clarke Stewart, the dental hygienists and the office staff bring to this delicate work are top-notch! Many thanks to Dr. Stewart, Molly and Connie!

View on Google
1

S Ware

Jackson, MS

2023

Google logo

I cannot express my gratitude to Dr. Clarke Stewart and his staff he is the absolute BEST I have lived in Louisiana, Memphis and the MS delta and I still go back to him. He is an expert in his field and will take care of you and put you at ease. If you need a Periodintist don’t walk run here!!!!

View on Google

Why Visit a Periodontist For Dental Implants?

Drs. Parkes and Stewart

There are many general dentists, even here in Jackson, who offer dental implants. So why should you visit a periodontal practice like ours for implant dentistry? Because our doctors, Roger B. Parkes and R. Clarke Stewart, are more than regular dentists.

After receiving their degrees in dentistry, they both went on to pursue three additional years of specialized education in issues of the gums and jawbone–a field known as periodontics. They possess a deep understanding of and skillset to treat even the most complex issues of these oral structures. Implant dentistry falls right in line with this specialty. If you want dental implants, you want a specialist like a periodontist to provide them.

Trusted Implant Dentists Caring for Jackson, MS, Since 1983

We are so pleased to be celebrating our 40th anniversary practicing dentistry here in Jackson, MS. If you are a Jackson resident or a member of nearby communities like Clinton or Ridgeland, know that we consider you a friend and a neighbor—and we would love to work with you.

Helping the greater Jackson area smile is our mission, and dental implants can be a wonderful tool to make those smiles possible for those with a missing tooth or teeth. Do implants sound like something you'd be interested in? Drop by our office on Briarwood Drive in North Jackson to talk about your options. You can also send us a message online or give us a call at:

(601) 956-1230

Picture of the Periodontal Associate's team

"Warm and Caring!" More Reviews for Our Team

1

China Stephens

Jackson, MS

2022

Google logo

The atmosphere was warm and caring! Everything was explained to me by the hygienists and Dr. Parkes. Ms. Connie also helped me set up my appointment and made sure I understood the preoperative and postoperative care.

View on Google
1

Mary Walker

Jackson, MS

2022

Google logo

The staff is ALWAYS FRIENDLY and Welcoming! I never have to wait for more than 5 min. Sharon, my dental technician is always efficient, professional and done in a timely manner. I always look forward to my appts.!

View on Google

We Also Offer All-on-4 Dental Implants A New Take on Implant-Supported Dentures

Drs. Parkes and Stewart also offer implants placed with the All-on-4® technique, which has revolutionized the implant denture process and offers several benefits over traditional methods. Consider these benefits:

Maximize Existing Bone Tissue

In All-on-4, the two posterior titanium implants are placed at a strategic angle that maximizes contact with the jaw tissue. Essentially, they can do the same job with less to work with. 

Avoid Bone Grafting

Because All-on-4 makes the most of existing bone tissue, many patients who are missing most or all of the natural teeth along a dental arch and have jaw atrophy but cannot or do not want to undergo bone grafting can still qualify for an implant-supported denture. This means fewer procedures and can potentially save months on total treatment time.

Receive Fewer Implants

All-on-4 is different because it uses just four implants to support a denture rather than the six to eight required for a traditional implant-supported denture.  

Enjoy an Immediate Temporary Denture

Another benefit of All-on-4? You can be fitted with a lifelike and fully functional temporary denture immediately after the implants are placed. While it will still take a few weeks to craft your permanent restoration, you'll be able to start enjoying life with a complete smile as soon as you leave our Jackson office.

See One All-on-4 Patient's Results A True Dental Transformation

before dental implants
Before All-on-4 Vanessa came from Greenville, MS, for help with her smile. She was dealing with advanced dental decay as well as missing teeth and was ready for a change.
after dental implants
After All-on-4 After discussing her options, we gently extracted the compromised teeth and moved forward with All-on-4. She now enjoys a stunning, functional smile.

Nervous About Implant Placement Surgery? We Have You Covered With Sedation Options

Dental implants are placed surgically, so it's completely normal to feel anxious about the procedure. However, we don't want a second of your experience with us to be anything less than positive, so we're happy to offer calming sedation, as well as local anesthesia to block pain.

Even though the implant procedure involves surgery, we want you to know that it isn't actually especially uncomfortable. Many of our Jackson implant patients are pleasantly surprised to find that it isn't much more unpleasant than having a tooth extracted after local anesthetic. Still, there are many different reasons to choose sedation, from dental anxiety to trouble sitting still, so we can discuss your options if you're interested.

The Dental Implant Timeline Reviewing the Process Step by Step

This is what you can expect when receiving traditional dental implants from Periodontal Associates of Jackson. The All-on-4 process works a bit differently.
As periodontists, Drs. Stewart and Parkes have developed a comprehensive understanding of the gums and jaw, as well as the dental issues that relate to them. They are an excellent choice if you're looking to restore your smile with dental implants.
As periodontists, Drs. Stewart and Parkes have developed a comprehensive understanding of the gums and jaw, as well as the dental issues that relate to them. They are an excellent choice if you're looking to restore your smile with dental implants.

Initial Consultation

Your smile restoration begins with a sit-down consultation at our office in Jackson, MS. Your implant dentist will examine your bite, discuss your dental and medical history, and help you decide which treatment option is best for you. If we determine you need a preparatory treatment, like tooth extraction or a bone graft, it will be scheduled as the next step.

Sedation

Before beginning the implant surgery, your doctor will thoroughly numb the treatment area with local anesthetic to block pain. We can also administer sedation to ensure an added level of comfort and peace of mind.

Implant Placement

Your doctor will make small incisions along your gumline to access your jawbone. The titanium implants will then be anchored in the bone, and the incisions will be closed.

First Healing Period

Over the course of three to six months, your implants will fuse with your jawbone. We can provide a natural-looking temporary restoration for you to wear during this healing process.

Abutment Placement

In a second surgery, small pieces called abutments will be attached to the tops of your titanium implants. These abutments connect restorations to implants. 

Second Healing Period

It will only take about one or two weeks for your gums to heal after abutment placement.

Restoration Placement

During your final appointment, we'll secure your custom crown, bridge, or denture to your implants. It will be designed to look and function just like the real thing, so you'll be able to leave our office with a smile you'll love.

Have Questions? We Have Answers Get in Touch With Us Today

We know that the dental implant process can sound complicated. We want you to feel fully empowered in your treatment choice, so you're welcome to ask us anything about it, whatever your curiosity or concern may be.

In four decades of practice, we've helped a great number of patients using dental implants, and no two cases have been the same. No matter your needs, you can rest assured we have an approach that will work for you. Contact us online or give our office a call. We look forward to hearing from you!

(601) 956-1230

More Glowing Reviews "Great group of people, they take excellent care of you"

1

G B

Jackson, MS

2022

Google logo

Great group of people, they take excellent care of you and treat you like your family. Dr Parks and Sharon always have a smile and a welcoming greet. GB

View on Google
1

michael moschella

Jackson, MS

2022

Google logo

Considering the amount of work I had done, the whole program was relatively painless. Everything should be this easy!

View on Google

We Place and Restore Dental Implants For More Convenient Care

Not all dentists can place dental implants, and not all periodontists can create dental restorations, but we can do both. This means we can handle every step of the treatment process without having to refer out to another practitioner. Our Jackson, MS, dental office, serving Clinton, Ridgeland, and surrounding communities, is even equipped with the technology to design and craft smaller restorations, like dental crowns, on-site.

How Much Do Dental Implants Cost? Your Payment and Financing Options

It usually costs about $1,795 to replace one tooth with an implant and restoration at Periodontal Associates of Jackson. Restoring an arch of teeth with All-on-4 implants and a denture typically costs around $12,000. Both of these price points are significantly lower than the industry average.

Unfortunately, implants are rarely covered by dental insurance. However, if you are insured, your implant-supported dental crowns, bridges, or dentures should be eligible for at least partial coverage.

Our practice accepts all types of dental insurance other than PPOs. We can even file a claim on your behalf to help you get the most coverage possible from your provider. We also accept financing through CareCredit®. With flexible financing, you can secure a loan that is repayable in monthly installments that work for your budget.

Another Dental Transformation Made Possible With Implants

To demonstrate the power of dental implants, we've made a number of real patients' before-and-after photos available for you to view. Take this man's case, for example.
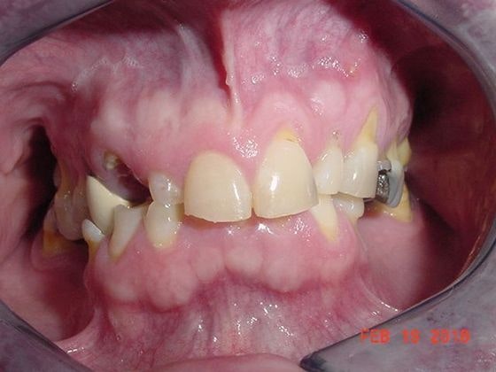
man's mouth with missing teeth
Before Dental Implants Mike from Petal, MS, came to us with missing teeth as well as teeth that were severely worn and coated with tartar around the gumline. 
the same man with a complete smile
After Dental Implants After treatment with dental implants, it's practically impossible to tell that Mike's attractive smile was once in such a compromised state.
No smile is beyond saving. If you live in Clinton, Ridgeland, or nearby and you'd like to learn more about what we can do for your smile with dental implants, get in touch with us to book your first appointment. Sending us a message online is easy. You can also fill out our consultation form or reach us by phone at:

We're Committed to Our Patients "They truly care about how you feel"

1

Summer Days

Jackson, MS

2023

Google logo

I love this office the staff is very kind and they truly care about how you feel and making you feel welcome this office is the definition of hospitality Dr. Stewart and his staff are amazing people. I have dental anxiety and they reassured me that everything was gonna be okay his assistant Mary is a god sent I just have so much love and respect for everyone there . I really hope that if anyone out there who want to get dental work done go see Dr.Stewart you will NOT regret it.

View on Google
1

Carolyn Wade

Jackson, MS

2022

Google logo

I am almost 80 years old and have never been to any place to have any procedure done and been treated the way I was here, so very happy my dentist sent me here, my experience was great ,wonderful people all the way through, and Dr Stewart is the BOMB!!!!

View on Google

"Their Hospitality Is So Outstanding!" We Thank Our Patients for Their Kind Words

1

Tina Moore

Jackson, MS

2022

Google logo

The staff at Periodontal Associates of Jackson are so friendly and helpful. Dr. Stewart is the best. He takes the time to explain everything and answer all your questions. I would highly recommend!

View on Google
1

Jatrina McDaniel

2022

Google logo

Dr.Parkes and his staff are very professional and  their hospitality is so outstanding! I'll most definitely recommend anyone to visit them. Great experience with overly friendly staff.

View On Google
Dr. Roger B Parkes and Dr. R. Clarke Stewart

Periodontal Associates of Jackson, P.A.

Our periodontists, Dr. Roger B. Parkes and Dr. R. Clarke Stewart are committed to providing patients in Clinton, Ridgeland, and Jackson, MS, with high-quality care in a comfortable setting. They are affiliated with several professional organizations, including:

  • American Academy of Periodontology
  • American Dental Association
  • Jackson Dental Society

To schedule a consultation at our periodontal practice, contact us online or call (601) 956-1230.

Contact Us Today

"Thank you for everything! You have a very friendly office where people greet you by name. Everyone makes me feel at ease and welcome as if I'm the only patient you have. I am extremely pleased with the outcome of my periodontal treatment. Kudos to Dr. Parkes and his staff." Alex S.

Rate, Review & Explore

Social Accounts Sprite